Enhance your health with free online physiotherapy exercise lessons and videos about various disease and health condition
Spondylolisthesis Treatment is given according to the grades of the slip. Grade 1 and 2 can be managed conservatively, while grade 3 and 4 require surgical intervention.
Spondylolisthesis Treatment is given with the aim to achieve maximum correction of the exaggerated lordosis and then maintain the correction.

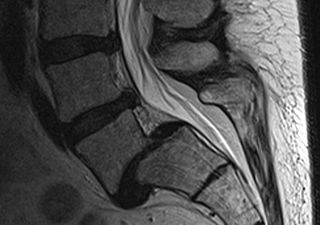
Spondylolisthesis is a condition in which the affected vertebra slips on the adjacent vertebra below it. It is very commonly seen at L5 and S1 vertebra level. It is more commonly seen in females than males. The most probable cause is due to congenital abnormality in the development of the neural arch. The pain usually starts after an injury and the symptoms are rare before adolescence.
Slip in Spondylolisthesis is measured by measuring the anterior slip of vertebral body. Meyerding classified the slip into 4 grades:-
Fillard discovered a formula for calculation of the percentage of slip-
Percent slip= The displacement of L5 over S1/Width of S1
Treatment is given according to the grades of the slip. Grade 1 and 2 can be managed conservatively, while grade 3 and 4 require surgical intervention.
Treatment is given with the aim to achieve maximum correction of the exaggerated lordosis and then maintain the correction.
Conservative Management usually comprises of Physical Therapy
1. Some heat modality like SWD (Short wave diatheramy) is given for pain relief.
2.Spondylolisthesis Exercises to correct the deformity-
3. The patient is given guidelines for correction of posture and its maintenance.
4. Stretching of hamstrings is done at regular intervals.
5. Patient is adviced to lie prone to control the advancement of lordosis.
6. A thoraco-lumbar-sacral orthoses is given to prevent the lordosis. The brace has to be worn continuously.
spondylolisthesis surgery is indicated when there are neurological symptoms, slip is progressing or if the pain is very intense.
Spinal fusion is done with or without the reduction of slip, postero-lateral fusion is very common. Spinal fusion prevents further progression of the slip. The spine may be internally stabilized with the help of rods and plates.
Get more information on Spondylolisthesis on Medline Plus
Physiotherapy Management after Surgery
During Immobilization
During Mobilization
Gradual mobilization of spine is initiated. The patient is encouraged to perform functional activities and to perform all the activities of daily living.
Return from spondylolisthesis treatment to orthopedic physical therapy
Return form spondylolisthesis treatment to home page
Recent Articles
|
Author's Pick
Rating: 4.4 Votes: 252 |